PUBLICIDADE

Máquina de ressonância ‘mais poderosa do mundo’ divulga 1ª imagem de cérebro humano

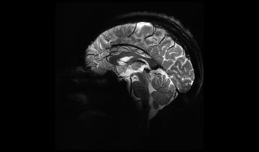
Foto: Divulgação / Comissão de Energia Atômica da França (CEA)
Compartilhe este post

O scanner de ressonância magnética mais poderoso do mundo forneceu as primeiras imagens de cérebros humanos, atingindo um novo nível de precisão que, para os especialistas, pode lançar luz sobre os mistérios das mentes — e as doenças que as assombram.

Pesquisadores da Comissão de Energia Atômica da França (CEA) usaram a máquina pela primeira vez para escanear uma abóbora em 2021. Mas as autoridades de saúde recentemente deram a eles luz verde para escanear cérebros humanos.

Nos últimos meses, cerca de 20 voluntários saudáveis foram os primeiros a entrar na máquina de ressonância magnética (MRI), localizada na área do Plateau de Saclay, ao sul de Paris, sede de muitas empresas de tecnologia e universidades.

Vista axial do cérebro humano, com o mesmo tempo de aquisição, mas com diferentes intensidades de campo magnético. Na última, a imagem do Iseult Magneton 11.7 T MRI. — Foto: Divulgação / Comissão de Energia Atômica da França (CEA)Vista axial do cérebro humano, com o mesmo tempo de aquisição, mas com diferentes intensidades de campo magnético. Na última, a imagem do Iseult Magneton 11.7 T MRI. — Foto: Divulgação / Comissão de Energia Atômica da França (CEA)

— Vimos um nível de precisão nunca alcançado antes no CEA — disse Alexandre Vignaud, físico que trabalha no projeto.

O campo magnético criado pelo scanner é de impressionantes 11,7 teslas, uma unidade de medida que leva o nome do inventor Nikola Tesla.

Essa potência permite que o aparelho escaneie imagens com 10 vezes mais precisão do que as ressonâncias magnéticas comumente utilizadas em hospitais, cuja potência normalmente não ultrapassa três teslas.

Na tela do computador, Vignaud comparou imagens obtidas por esse poderoso scanner, apelidado de Iseult, com imagens de uma ressonância magnética normal.

— Com esta máquina podemos ver os minúsculos vasos que alimentam o córtex cerebral, ou detalhes do cerebelo que eram quase invisíveis até agora — explica ele.

A ministra da Pesquisa da França, Sylvie Retailleau, ela mesma física, disse que a precisão da tecnologia é tanta que é até “difícil de acreditar”.

“Esta inovação mundial permitirá uma melhor detecção e tratamento de patologias cerebrais”, disse ela em comunicado à AFP.

Iluminando as regiões do cérebro

Dentro de um cilindro de cinco metros de comprimento e altura, a máquina abriga um ímã de 132 toneladas alimentado por uma bobina que transporta uma corrente de 1.500 amperes. Há uma abertura de 90 centímetros para os humanos “deslizarem”.

O projeto é o resultado de duas décadas de pesquisas realizadas por uma parceria entre engenheiros franceses e alemães.

Os Estados Unidos e a Coreia do Sul estão trabalhando em máquinas de ressonância magnética igualmente poderosas, mas ainda não começaram a digitalizar imagens de seres humanos.

Um dos principais objetivos de um scanner tão poderoso é refinar a compreensão da anatomia do cérebro e de quais áreas são ativadas quando ele realiza tarefas específicas.

Os cientistas já usaram ressonâncias magnéticas para mostrar que quando o cérebro reconhece coisas específicas – como rostos, lugares ou palavras – regiões distintas do córtex cerebral entram em ação.

Aproveitar o poder de 11,7 teslas ajudará Iseult a “compreender melhor a relação entre a estrutura do cérebro e as funções cognitivas, por exemplo, quando lemos um livro ou realizamos um cálculo mental”, disse Nicolas Boulant, diretor científico do projeto.

Na trilha do Alzheimer

Os pesquisadores esperam que o poder do scanner também possa esclarecer os mecanismos indescritíveis por trás de doenças neurodegenerativas, como Parkinson ou Alzheimer – ou condições psicológicas como depressão ou esquizofrenia.

— Por exemplo, sabemos que uma área específica do cérebro, o hipocampo, está implicada na doença de Alzheimer, por isso esperamos poder descobrir como funcionam as células nesta parte do córtex cerebral — disse a pesquisadora do CEA Anne-Isabelle Étienvre.

Os cientistas também esperam mapear como certos medicamentos usados para tratar o transtorno bipolar, como o lítio, se distribuem pelo cérebro.

O forte campo magnético criado pela ressonância magnética dará uma imagem mais clara de quais partes do cérebro são alvo do lítio. Isto poderia ajudar a identificar quais pacientes responderão melhor ou pior ao medicamento.

— Se pudermos compreender melhor estas doenças tão prejudiciais, seremos capazes de diagnosticá-las mais cedo e, portanto, tratá-las melhor — disse Etienvre.

Num futuro próximo, os pacientes normais não serão capazes de usar o poderoso poder de Iseult para ver o interior de seus próprios cérebros.

Boulant disse que a máquina “não se destina a se tornar uma ferramenta de diagnóstico clínico, mas esperamos que o conhecimento aprendido possa então ser usado em hospitais”.

Nos próximos meses, uma nova safra de pacientes saudáveis será recrutada para que seus cérebros sejam escaneados. A máquina não será usada em pacientes com patologias por vários anos.

O Globo

Leia mais

PUBLICIDADE